Задать вопрос врачам онлайн
бесплатно, без регистрации












Принимаю условия Пользовательского соглашения

Вопросы врачам

👍
0
👎

Задержка после мед аборта   1 ответ

Добрый день ,1 сентября 2025 года был мед аборт была неразвивающаяся беременность до 4.09 шла кровь потом прекратилась ,15 числа был ПА не расчитали ,23 .09 была на узи все было чисто но месячные в октябре не пришли пошла 4 октября на узи все чисто эндометрий 10 мм все хопошо но месячных нет и болит грудь хотя врач сказала ждите должны прийти.но их нет(

12 окт 2025 12:13
 
👍
0
👎

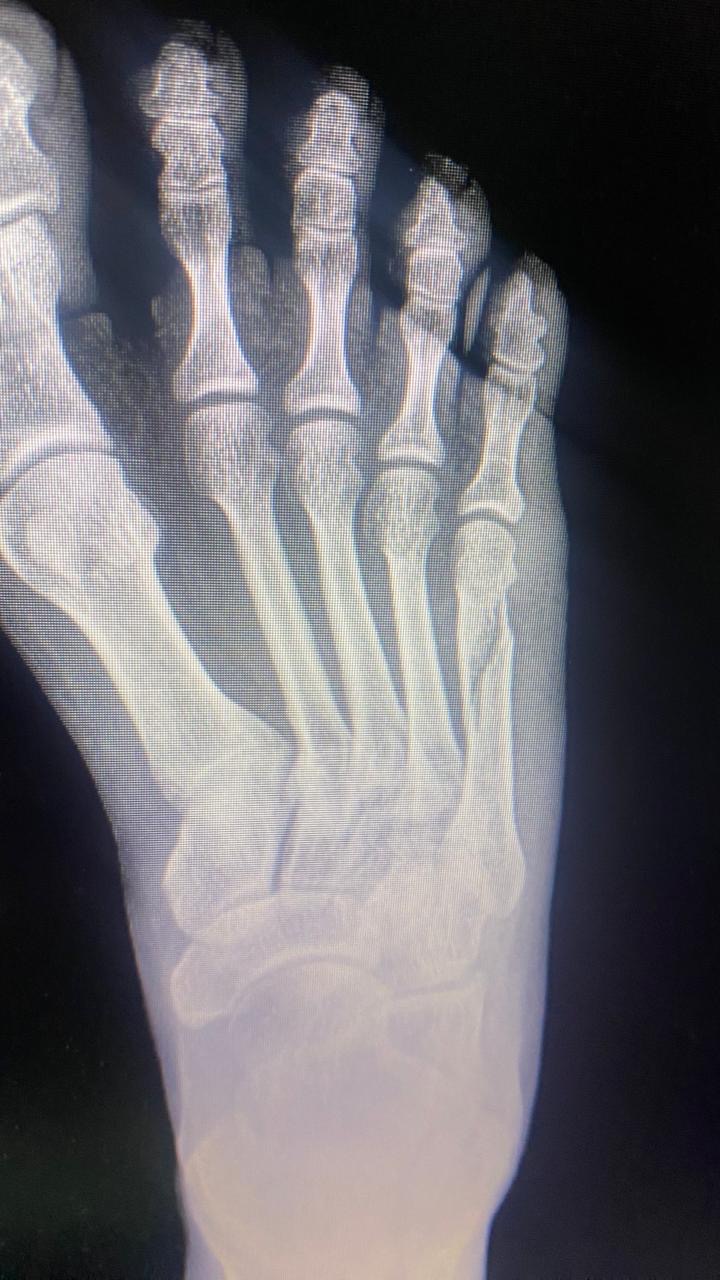
Перелом пятой плюсневой кости   1 ответ

28 августа упала на ногу, был хруст, 1 сентября пошла к врачу, оказалось перелом, наложили гипс, сняли 26 сентября, потом прописали ортез на 2 недели, ходила 2 недели в нём, мне говорят на ногу уже можно прям целиком наступать, но болит очень, вот такая ситуация на данный момент, это последний снимок уже после снятия гипса. Что можете сказать по нему?

👍
0
👎

Расшифруйте пожалуйста, ремиссия это или нет.   2 ответа

Было сделано ночное ээг, чтоб можно было точно сказать, есть ли ремиссия. Прислали результаты, у эпилептолога ещё не была. Хотелось бы понять, что это значит, расшифруйте пожалуйста.

👍
0
👎

С какой косметологической процедуры можно начать?   1 ответ

Здравствуйте. Мне 35 лет. Один раз была у косметолога на чистке. Определили тип кожи как комбинированный. Хочется ровный здоровый цвет лица. Осветить кожу лица. Когда крашусь беспокоит, что блестит Т-зона и макияж смотрится грязным. Плюс около рта после месячных через неделю всегда появляется 1 или 2 прыща внутренних и болючих. Они оставляют пятна.…

12 окт 2025 12:06
 
👍
0
👎

Прыщи в середине цикла   1 ответ

Здравствуйте. Мне 35 лет. Цикл ровный,28 дней. Беспокоит,что через неделю после месячных около рта появляются прыщи. Может ли это быть связано с нарушениями по женской части? Двое детей. Двое родов. 4 беременности, 2 выкидыша. Второго ребёнка родила почти 8 лет назад. Спасибо.

👍
0
👎

Сильные кровянистые выделения   1 ответ

Здравствуйте, после медикаментозного аборта спустя 10 дней пошли сильные кровянистые выделения, ходя до этогл были тёмные коричневые, нормально ли это? Или кровотечение

12 окт 2025 12:03
 
👍
0
👎

Лимфоузел или нет?   1 ответ

Здравствуйте. Месяца 4 назад рядом со шрамом от аппендицита нащупала уплотнение. Стоя хорошо прощупывается,достаточно плотное маленькое, лежа трудно прощупать. Операция была 17 лет назад. Хирург сказал это липома, узи показало лимфоузел. После обследования прошло 2 месяца, уплотнение не прошло. Я читала, что в это области никак не нащупать лимфоузел. Нормально ли это?

👍
0
👎

Остеосинтез металлоконструкций: шевеление мышц или связок   1 ответ

Здравствуйте! Скажите пожалуйста у меня был перелом бедер остеосинтез металлоконструкций установлен. В данный момент в области колена при сгибании с краю идет шевеление то ли мышцы то ли связок возможно. Это справа сбоку .Допустимо ли это?

👍
0
👎

Что делать дальше?   1 ответ

2 дня беспокоили боли в правом нижнем боку , поднялась температура до 37,4
Поступила по скорой сдала анализы ,кровь,моча, рентген и УЗИ поставили острый аппендицит сделали лапораскорию в итоге не подтвердили что это аппендицит
Сейчас уже 7 день после операции на протяжении этих дней температура держалась до 37,4 сейчас уже 2 дня держится…

12 окт 2025 11:59
 
👍
0
👎

Внематочная беременность?   1 ответ

Последняя менструация 25.08 по 30.08
Была задержка но боли были такие как при менструации я сделала тест и от 04.10 показало 2 ярких полоски. Записалась на УЗИ И сдала ХГЧ от 05.10 результат 492 мМЕ/мл на УЗИ ничего не увидели. 08.10 я опять пришла на УЗИ ничего не видно и сдала ХГЧ. Хгч от 08.10 показало 700 мМЕ/мл. Поставили подозрение на внематочную…

12 окт 2025 11:57
 
Задать вопрос врачу