Вопросы врачам: Травматология

Задать вопрос травматологу
👍
0
👎

Что за пятна на пальце и ноге   1 ответ

Зуд, выпадают волосы, пятна на пальце у ногтя и на ляшке фиолетовые и красные пятна

23 июл 2025 14:06
 
👍
0
👎

Травма шеи   2 ответа

Неудачно нырнул в бассейн, болят мышцы шеи, затруднение поворота головы, болит затылок, но при нажатии на шею или затылок, боли нет. Нужно ли обращаться в больницу илиможно вылечить дома?

22 июл 2025 15:44
 
👍
0
👎

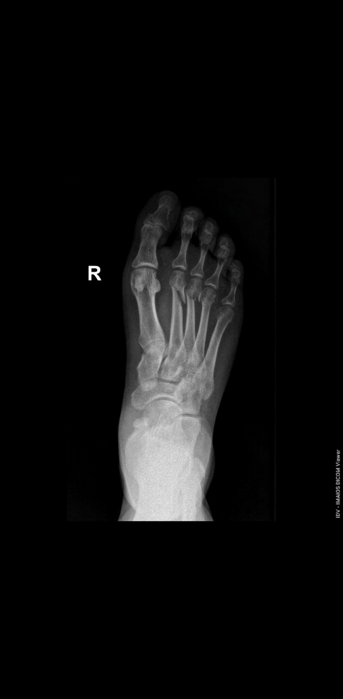
Нужна ли операция?   1 ответ

Здравствуйте доктор! Подскажите, пожалуйста, нужна ли операция при таком переломе? Или достаточно гипса? Почему то не получается загрузить второй снимок.

22 июл 2025 15:09
 
👍
0
👎

Укус собаки   2 ответа

3 дня назад укусила собака; Крови не было, укусила за левую ногу через кроссовок. Опять-таки, никакой крови, ничего. Видны сейчас только лёгкие белые точки и какой-то другой цвет, вполне возмжно что из-за того, что залил йодом и перекисью. Есть ли риск бешенства?

22 июл 2025 12:17
 

Как укрепить иммунитет ребенка: полезные продукты питания

В детском возрасте иммунная система особенно уязвима. Чтобы укрепить детский иммунитет, нужно прежде всего наладить правильное питание.
👍
0
👎

Переоформление мсэ на взрослую инвалидность «инвалид детства» какой шанс что ее не продлят?   2 ответа

Заочное мсэ
Анамнез заболевания:
С рождения наблюдался у невролога с диагнозом: ДЦП: хронический резидуальный период,
гемипаретическая форма (левосторонний спастический гемипарез) 2 степени тяжести. Регулярно
проходил восстановительное лечение. Также наблюдался у травматолога-ортопеда с диагнозом:
Нейрогенная стойкая контрактура…

👍
−3
👎

Позвонки выпирают   1 ответ

Здравствуйте, у моего сына позвоночник выпирает в поясничном отделе, подскажите пожалуйста диагноз, на сколько всё серьёзно и что делать? Благодарю!

22 июл 2025 00:15
 
👍
0
👎

Отёк после перелома   1 ответ

В декабре 2024г.был перелом малой берцовой кости. Отёк стопы после перелома не проходит, а спустя месяца 4 появилось покраснение на стопе и появилась рана, которая стала сочиться. Делали рентген — всё отлично, делали узи вен, результат — всё хорошо. Так, как рана иокнет, назначили УФО, после 2сеансов распухла нога. На данный момент сильно опухшая стопа, постоянно выходит жидкость

21 июл 2025 23:57
 
👍
0
👎

Куда следует обратиться, чтобы показать травму?   1 ответ

Это случилось 12 июля, прошло 9 дней. Гематома и опухоль от укуса сохраняется, болит, появляются новые синяки.
Подскажите пожалуйста, куда обращаться, чтобы проконтролировать такую ситуацию?
Сразу отвечу про прививку от бешенства, предлагали начать вакцинацию при обращении, но я отказалась, поскольку дважды были аллергические реакции на прививки,…

21 июл 2025 22:54
 
👍
0
👎

Боль в колене   1 ответ

МР- признаки гонартроза 1 стадии (по Келлгрену-Лоренсу), артрит надколенно-бедренного сочленения, повреждение медиального мениска 2 степени, повреждение латерального мениска 2 степени, повреждение медиальной боковой связки 1-2 степени, повреждения сухожилия медиальной головки икроножной мышцы 2 степени. Супранателлярный выпот. Киста Беккера. Отек…

21 июл 2025 14:54
 
👍
0
👎

Гонартроз колена   1 ответ

Здравствуйте!Пару лет назад поставили диагноз:гонартроз.Периодически пролечиваюсь.Была на приеме у травматолога с плоскостопием, колю хондрогард.Позавчера опять заболело колено и ногу еле волоку.На прием записалась, но это еще не скоро.Чем можно пока облегчить боль?Результаты МРТ прилагаю.Спасибо заранее

21 июл 2025 14:44
 
Задать вопрос травматологу

Читайте также

Как укрепить иммунитет ребенка: полезные продукты питания

В детском возрасте иммунная система особенно уязвима. Чтобы укрепить детский иммунитет, нужно прежде всего наладить правильное питание.

Лекарства для химиотерапии: механизм лечения болезни

При выявлении онкологического заболевания в комплексе лечения нередко используют химиотерапию, что это?

Химиотерапия: что это такое?

Химиотерапия применяется для борьбы со злокачественными опухолями, расположенными в разных частях тела. Что же при этом происходит?

Как усилить выработку желчи: продукты, напитки, приёмы

Эффективные и безопасные методы усиления выработки желчи в желчном пузыре. Как запустить образование желчи, чтобы кишечник хорошо работал.

Невирусный гепатит: как защитить печень

Мы привыкли относить гепатит к вирусным заболеваниям. Однако воспаление печени может быть вызвано вовсе не инфекцией