|
👍 0 👎 |
Болит десна над зубом мудрости
|
|
👍 0 👎 |
Мост на нездоровые зубы
|
|
👍 0 👎 |
Непонятные действия стоматологов.
|
|
👍 0 👎 |
Что на снимке?
|

|
👍 0 👎 |
Чем лечить?
|
|
👍 0 👎 |
Киста зуба, лечить или удалять?
|
|
👍 0 👎 |
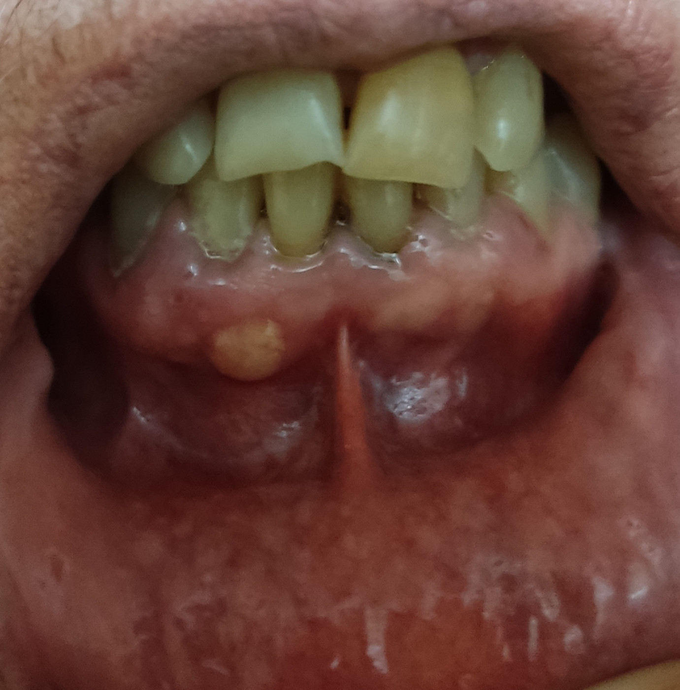
Шишка на небе
|
|
👍 0 👎 |
Что это может быть?
|
|
👍 0 👎 |
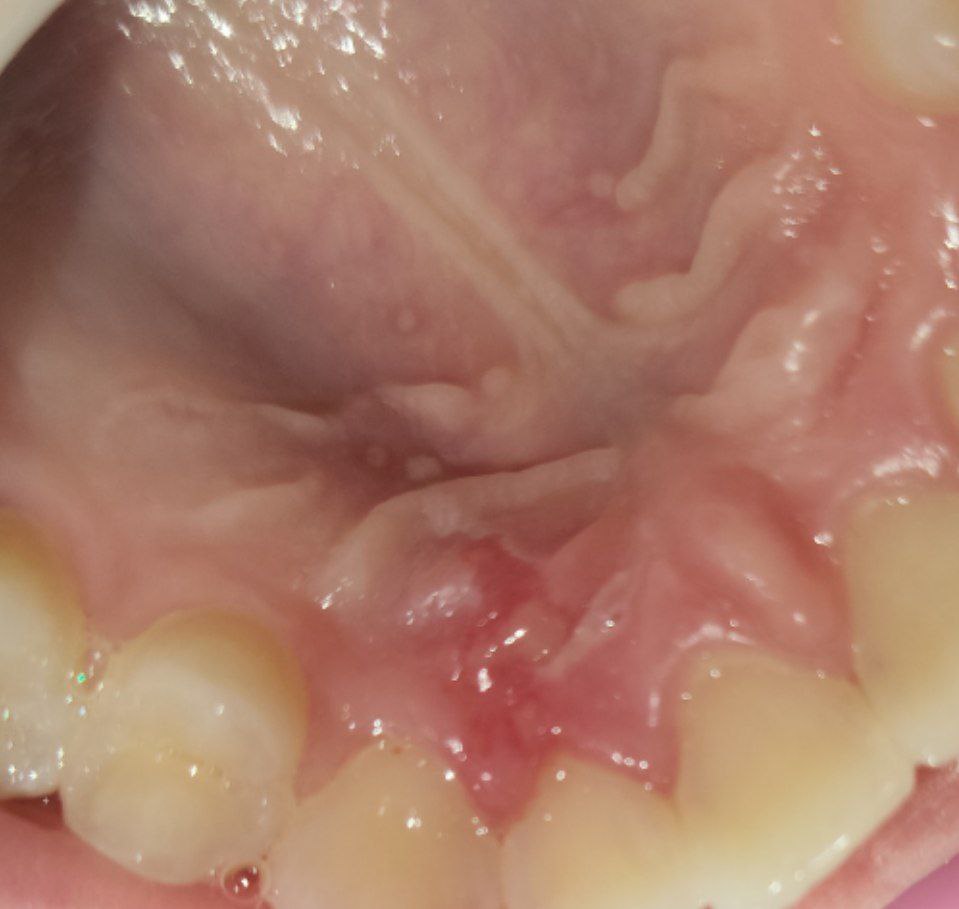
Пол языком образования, какие то папиломы или прыщи появились, только сейчас заметила, что это?
|
|
👍 0 👎 |
Слизистая закрывает половину 7 зуба после удаления восьмерки и болит челюсть
|




